Granit Medical Innovations, LLC

Hold mouse over thumbnail for bigger image.
 

Flexible EUS Core Biopsy Needle (R-FNB™)

Patent protection: US Patent 7,722,549; Patents in Canada, France, Spain, Great Britain, Japan, Italy and Germany.

Please click on a picture above and enjoy the video demonstrating a live pig trial using the Nakao R-FNB during an endoscopic ultrasound procedure.

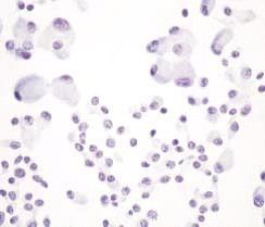
Background: Endoscopic ultrasound guided fine-needle aspiration (EUS-FNA) is the most widely used method for obtaining diagnostic material from lesions immediately adjacent to the gastrointestinal tract. Fine needle aspiration is performed by obtaining a diagnostic tissue sample from suspected tumor lesions. Using the woodpecker technique, the endoscopist plunges the needle into a target tissue 10-15 times in order to mince a lesion for aspiration of cellular material. As a result, the aspirate is often devoid of the cells required for pathologic evaluation, and preservation tissue morphology is not possible. Shown below is a cytology smear obtained through EUS FNA with the current state of the art instruments.

Cells obtained through EUS FNA from an islet cell tumor of the pancreas

Another drawback to the currently used EUS FNA needle is that it is made of stainless steel. As the needle passes through a retroflexed EUS endoscope, it becomes misshapen. A bent needle is difficult to aim correctly at a tumor, especially under ultrasound guidance. Consequently, sometimes two devices are used during a single procedure, rendering it excessively costly.

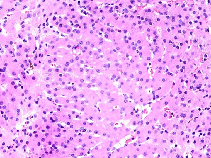
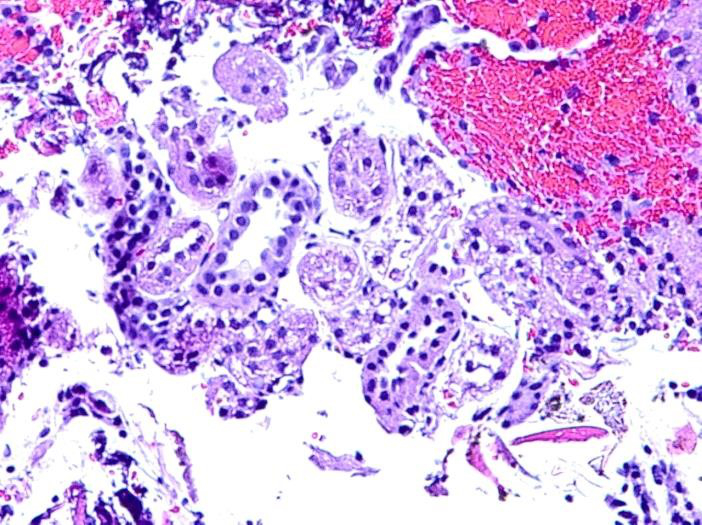
The Nakao R-FNB™ needle is advanced to the lesion under ultrasound guidance. While the needle is plunged into the suspected tumor, the specially designed handle brings about a rotation of twice 360 degrees transmitted in a 1:1 fashion from the handle to the needle. As a result, the needle rotates as it advances into the target tissue, obtaining a core biopsy with every single needle pass. The major advantage achieved by The Nakao R-FNB™ is the core tissue biopsy obtained with this device. This core biopsy enables immune staining, hormonal tumor sensitivity, assessment of tumor margins, and various tissue staining techniques that far outshine an analysis of singular cells of a histology smear. This core tissue biopsy is achieved with every single needle pass.

Owing to its shape memory Nitinol needle, The Nakao R-FNB™ is guaranteed to maintain a straight configuration throughout the entire procedure. Shown above is The Nakao R-FNB™ passed through a 90 degree retroflexed (U-turned) EUS endoscope.

The Nakao R-FNB™ passed through a retroflexed EUS endoscope

Market: The existing market for EUS-FNA flexible device market is dominated by Cook Medical, Boston Scientific, and Olympus Corporation. Pricing ranges from $200 to $300 per disposable device. Data on the number of EUS-FNA devices sold in the US, Europe, Japan, and the rest of the world (ROW) was obtained by the Millennium Group:

Issued Patent
7,722,549

 

Copyright © Granit Medical Innovations, LLC 2017